Harvard Researchers Create Bone Marrow-On-A-Chip Device
By Joel Lindsey

A team of researchers at Harvard’s Wyss Institute for Biologically Inspired Engineering has created a device they call “bone marrow-on-a-chip.” The device could provide a way to test new drugs and toxic agents on bone marrow without having to conduct tests on living animals.
“Bone marrow is an incredibly complex organ that is responsible for producing all of the blood cell types of our body, and our bone marrow chips are able to recapitulate this complexity in its entirety and maintain it in a functional form in vitro,” Don Ingber, founding director of the Wyss Institute and scientist working on the project, said in a press release published recently on the institute’s website.
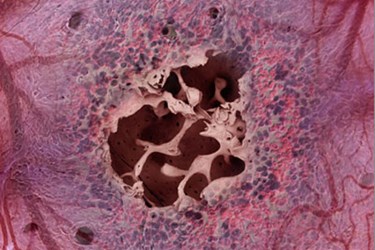
To create the bone marrow-on-a-chip device, researchers filled a circular chip approximately the size of a coin battery with dried bone powder. They then implanted the chip under the skin of a living mouse and left it there for eight weeks. At the end of the eight weeks, the chip was surgically removed and examined under a microscope.
Researchers found that the surgically implanted circular chip had developed into a ring-shaped bone, and the bone marrow found within the fabricated structure was functioning just like natural bone marrow, mirroring natural blood cell production. .
The bone was then removed, and the naturally growing bone marrow was kept alive in a microfluidic device that supplied nutrients and removed waste in processes similar to those carried out in a living body. The microfluidic device kept the marrow alive for up to one week. Researchers involved with the project claim this should be long enough to effectively and thoroughly conduct toxicity and drug tests, according to the press release.
Details regarding the creation and possible functions of the bone marrow-on-a-chip device have been published recently in the journal Nature Methods.
The Wyss Institute reports that the bone marrow-on-a-chip has so far proven to be an effective way of conducting toxicity and drug tests. More specifically, the engineered marrow is just as susceptible to radiation as natural marrow, and the application of a drug designed to protect marrow from the negative effects of radiation was shown to also protect the marrow-on-a-chip.
The bone marrow-on-a-chip device is the latest in an ongoing effort to develop a variety of human organs on small chips. According to the Wyss Institute, its scientists have so far created lung, heart, kidney, and gut chips that work similarly to the bone marrow-on-a-chip, reproducing important functions of naturally occurring organs and providing a safe and effective means of studying organs and testing drugs without the use of living animals.
Image Credit: James Weaver, Harvard’s Wyss Institute