Mayo Clinic, GE To Unveil New Compact MRI Technology

Mayo Clinic and GE Global Research plan to introduce a compact 3T magnetic resonance imaging (MRI) scanner at an invitation-only meeting on June 28. The new technology is part of the companies’ five-year bioengineering research partnership, funded by the National Institutes of Health (NIH).
Though MRI imaging is an invaluable tool and exposes patients to less radiation than other forms of diagnostic imaging, the nature of the equipment and test causes anxiety in a significant population of patients. Researchers estimate that 37 percent report anxiety, which sometimes results in early termination of the exam, according to a study published in the Journal of Magnetic Resonance Imaging.
In 2011, GE Global Research announced a five-year, $5.7 million grant from the National Institute of Biomedical Imaging and Bioengineering (NIBIB) and the National Institute of Neurological Disorders and Stroke (NINDS) to drive new technologies that would expand the availability of MRI technology in smaller clinical spaces and for larger populations of patients. Together with a team from the Mayo Clinic, researchers worked to develop a head-only MRI system.
“The development of a head only MRI system could address 25-30 percent of all MR imaging procedures today,” said Jim Davis, GM of GE Healthcare’s MRI business, in 2011. “Research in this area aims to bring benefits of lower total costs, better image quality, and greater patient comfort and makes this a very attractive opportunity for collaboration.”
Thomas Foo, chief scientist of diagnostic and biomedical technologies at GE Healthcare, noted that the scale of traditional MRI equipment limits the spaces where it can be used — primarily large hospital settings. A smaller machine, said Foo, would improve patient access to the technology.
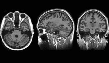
The new system, which already is installed at the Mayo Clinic’s downtown campus in Minnesota, uses a superconducting 3T magnet, a new prototype that is one-third the size of MR magnets and requires a smaller amount of liquid helium to operate, as well as less electricity. The system can be used to perform head scans as well as scans of smaller extremities, such as hands and feet, according to a press release.
“A lot of team work went into the development, construction, and fine-tuning of the machine, and even more will go into determining the full scope what physicians are able to do with it to improve patient outcomes and experiences,” said Matt Bernstein, a medical physicist in the Mayo Clinic’s Department of Radiology, to Discovery’s Edge. “The smaller design actually permits increased scanner performance, because both the electrical power requirements and physiological limitations imposed by a whole-body MRI scanner are greatly reduced.”
John Huston, a neuroradiologist at Mayo Clinic, added that the research team already is looking into expanded applications for the new technology and ways that the more compact system could improve patient access.
In 2014, the U.K. opened a series of open and Upright MRI centers to provide diagnostic imaging for patients unable to undergo whole-body MRI scans due to their size, or to issues with anxiety and claustrophobia.
Mayo Clinic recently announced an ongoing research collaboration with Boston Scientific. The partnership is set to begin human trials on four collaborative R&D projects, with an additional eight projects still in the works.